Туберкулез — инфекционная болезнь
|
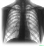
Добавлено: 26.04.2011, 08:53 Источник: http://www.tubunet.ru автор: администратор ![]() Причиной повсеместного распространения туберкулеза является его инфекционная природа. О заразности этого заболевания было хорошо известно врачам и ученым древнего мира. В своде законов Хаммурапи закреплялось право на развод с женой, заболевшей туберкулезом, а по кодексу Ману, принятому в Древней Индии, запрещалось брать замуж женщин, в семьях которых было подобное заболевание. В Древней Персии изолировали больных не только проказой, но и чахоткой. В Испании, Португалии, в Венеции и Неаполе XVIII века нашей эры действовали законы, предписывающие врачам сообщать обо всех случаях заболевания легочной чахоткой. Таких больных госпитализировали, а их одежду и домашнее имущество уничтожали. За нарушение этих законов предусматривалось суровое наказание. Даже в середине XIX века известного польского композитора Фредерика Шопена, отправившегося лечиться от туберкулеза в Испанию, не пустили на пассажирский пароход в порту Майорка. Хозяин гостиницы в Барселоне распорядился сжечь все вещи и мебель в номере, где остановился больной Шопен, отнеся все убытки на его счет. Научные доказательства заразности туберкулеза были впервые получены в 60-х годах XIX века французским врачом Ж. Вильменом, заметившим, что после появления на военном судне, где он служил, больного чахоткой вспыхнула эпидемия этого заболевания среди матросов. Вильмен провел серию опытов на кроликах и морских свинках, которым вводил кровь больных или заставлял дышать распыленной мокротой своих пациентов. При этом животные гибли от заболевания, очень похожего на туберкулез у человека. Однако заслуга открытия возбудителя туберкулеза принадлежит немецкому бактериологу Роберту Коху, в честь которого этот возбудитель и получил наименование «бацилла Коха» (БК). Особенности развития заболевания, длительное течение и повторные обострения в значительной степени связаны с биологическими особенностями вызывающего его микроорганизмам. В медицинской литературе его обозначают также как «микобактерии туберкулеза» (МБТ). Само название указывает на принадлежность возбудителя к роду микобактерий, широко распространенному в природе. Многочисленные виды микобактерий, совершенно безвредны для человека, обитают в почве и воде. Некоторые из них вызывают заболевания у рыб, пресмыкающихся и птиц, но возбудителями туберкулеза у людей являются только два из них — микобактерии человеческого и бычьего типов. Под микроскопом они имеют вид палочек, обычно с искривленными неровными контурами и зернами внутри. Различить МБТ человеческого и бычьего типов удается только с помощью специальных микробиологических и биохимических тестов. Характерными особенностями обоих типов возбудителя является их высокая устойчивость к вредным воздействиям внешней среды. Особая липидная оболочка микобактерий делает их не чувствительными к действию спиртов, кислот и щелочей, они хорошо переносят длительное высушивание и замораживание. В уличной пыли этот микроорганизм остается жизнеспособным до двух недель, а на страницах книг — до трех месяцев. В темных серых помещениях, например в подвалах, микобактерии могут сохраняться и более долго. Кипячение, прямое солнечное или ультрафиолетовое облучение, хлорамин, хлорная известь и другие сильные антисептики убивают микобактерии туберкулеза. Эти средства обычно и используют при дезинфекции. При выращивании на специальных питательных средах и в живом организме МБТ проявляют удивительную изменчивость и приспособляемость к неблагоприятным воздействиям. При этом они могут терять оболочку, приобретать шарообразную или зернистую форму, становясь недоступными для действий лекарственных препаратов или естественных механизмов защиты человека. Подобные превращения микобактерий, вполне естественны для данного рода микроорганизмов, обозначаются как L- цикл их эволюции. Переход микобактерий в так называемые L-формы позволяет им годами и десятилетиями незаметно существовать в условиях живого организма, не вызывая никаких недомоганий. Но при этом постоянно сохраняется опасность, что они вновь трансформируются в обычные микобактерии и вызовут повторное заболевание туберкулезом. Подобная способность возбудителя объясняет, почему инфекция, однажды попавшая в организм человека, может сохраняться (персистировать) на протяжении многих лет или даже всей жизни, не сопровождаясь никакими нарушениями. Но в неблагоприятных условиях, например, например, при ослаблении сопротивляемости в результате самых различных причин, персистирующая инфекция способна проявить себя и вызвать серьезное заболевание. Микобактерии вызывают туберкулез не только у человека и крупнорогатого скота, но и у кошек, собак, свиней, приматов, буйволов, а также у большинства диких млекопитающих. Примечательно, сто туберкулез у животных чаще вызывается бычьим типом возбудителя, хотя в полнее возможно и заражение домашних животных от больных людей. В последнее время внимание ученых привлекает гипотеза о сравнительно недавнем возникновении микобактерий человеческого типа в результате мутации возбудителя бычьего типа, существовавшего в природе задолго до появления человека. Но в любом случае незыблемым остается основное положение, сформулированное еще Робертом Кохом: «Без туберкулезной бациллы не может быть туберкулеза». Как происходит заражение туберкулезомГлавным источником распространения инфекции является больной туберкулезом человек, выделяющий с мокротой возбудителей заболевания. При кашле, чихании, смехе, даже при разговоре мелкие капельки слюны и мокроты рассеиваются в окружающем воздухе на расстояние до 1,5 метров и могут удерживаться в нем до 30–60 минут. В таких капельках нередко и содержаться микобактерии туберкулеза. Вместе с вдыхаемым воздухом они проникают в легкие окружающих людей. Воздушное распространение инфекции может происходить и несколько по-иному. Капельки мокроты, оседая на одежде, белье больного, на полу и мебели его комнаты, высыхают и смешиваются с пылью. Вытряхивание такого белья в помещении, неаккуратная сухая уборка сопровождается подъемом пыли, в которой сохраняются вполне жизнеспособные микобактерии, попадающие затем в дыхательные пути окружающих. Значительно реже человек может заразиться от больных туберкулезом домашних животных, обычно при употреблении в пищу непастеризованного молока или непроваренного мяса больных коров. При подобном пути заражения возбудители, содержащиеся в принятой пищи, проникают в организм через миндалины или стенки кишечника, попадая в ближайшие лимфатические узлы, а затем и в ток крови. Известны и другие, еще более редкие пути заражения, например через царапины и ссадины на коже. Это возможно при крайне низком уровне гигиены, когда мокрота или гнойное отделяемое из туберкулезных свищей сохраняются на одежде и белье, которыми пользуются как больные, так и здоровые люди. |
Интересные медицинские статьи нашего сайта:
Как похудеть за пять дней
Как похудеть за пять дней, не голодая?, «Как сделать свою талию тонкой, не прибегая к физическим упражнениям?», 'Что такое избыточный вес и как с ним бороться' - сколько ...Зачем назначают чек-ап обследование?
Но все же большинство людей считают, что если они чувствуют себя здоровыми, то в обследовании не нуждаются. Но Check Up как раз и разработан для здоровых пациентов. Этот ...Все материалы взяты из открытых источников и принадлежат авторам, указанным в статьях.
при перепечатке или копировании материала, пожалуйста, указывайте ссылку на нас.
Здоровья Вам и Вашим близким! 2004 - 2026 г.

