Асцит
|
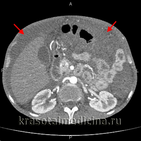
Добавлено: 22.03.2023, 03:53 Источник: Асцит – это вторичное состояние, характеризующееся накоплением экссудата или транссудата в свободной брюшной полости. Клинически проявляется увеличением объема живота, тяжестью, чувством распирания и болями в брюшной полости, одышкой. Диагностика асцита включает проведение УЗИ, КТ, УЗДГ, диагностической лапароскопии с исследованием асцитической жидкости. Для патогенетического лечения необходимо установить причину, вызвавшую скопление жидкости; к симптоматическим мероприятиям при асците относятся назначение мочегонных средств, пункционное удаление жидкости из брюшной полости. ![]() Общие сведения Асцит или брюшная водянка может сопровождать течение самого широкого круга заболеваний в гастроэнтерологии, гинекологии, онкологии, урологии, кардиологии, эндокринологии, ревматологии, лимфологии. Накопление перитонеальной жидкости при асците сопровождается повышением внутрибрюшного давления, оттеснением купола диафрагмы в грудную полость. При этом значительно ограничивается дыхательная экскурсия легких, нарушается сердечная деятельность, кровообращение и функционирование органов брюшной полости. Массивный асцит может сопровождаться значительной потерей белка и электролитными нарушениями. Таким образом, при асците может развиваться дыхательная и сердечная недостаточность, выраженные обменные нарушения, что ухудшает прогноз основного заболевания. Чаще всего асцит диагностируется у мужчин при циррозе печени. Патология может быть связана с повышением кровяного давления в системе воротной вены, воспалением брюшины, недостатком белка в организме. Так, причиной асцита становятся следующие заболевания и состояния: - перитонит; - мезетелиома брюшины; - полисерозит вследствие ревматизма, ревматоидного артрита, системной красной волчанки; - метастазы и прорастание в брюшину злокачественных опухолей из других органов; - цирроз печени, гепатоз, гепатит алкогольной этиологии; - тяжелые воспалительные патологии кишечника; - хроническая сердечная недостаточность; - непроходимость венозных сосудов вследствие их сужения или закупорки; - хронический гломерулонефрит почек; - заболевания крови; - панкреатит; - поражение матки и придатков; - голодание, строгая диета, вегетарианство. Также асцит обнаруживается в поздних стадиях гепатоцеллюлярного рака. Патогенез В норме серозный покров брюшной полости – брюшина продуцирует незначительное количество жидкости, необходимое для свободного движения петель кишечника и предупреждения склеивания органов. Этот экссудат всасывается обратно самой же брюшиной. При целом ряде заболеваний секреторная, резорбтивная и барьерная функции брюшины нарушаются, что приводит к возникновению асцита. Таким образом, в основе патогенеза асцита может лежать сложный комплекс воспалительных, гемодинамических, гидростатических, водно-электролитных, метаболических нарушений, вследствие чего происходит пропотевание интерстициальной жидкости и ее скопление в брюшной полости. Классификация асцита В зависимости от объема скопившейся жидкости выделяют следующие степени асцита: - легкая – водянка определяется только по результатам УЗИ; - средняя – присутствует равномерное симметричное умеренное увеличение живота; - тяжелая – характерно выраженное увеличение живота. Если транссудат стерилен, отсутствует гепаторенальный синдром, асцит имеет неосложненное течение. При присоединении инфекции и нарушении функций жизненно важных органов развивается осложненная форма заболевания. Также патологию классифицируют по ответу на медикаментозную терапию: заболевание поддается лечению; рефрактерный асцит, применение диуретиков неэффективно или невозможно из-за развивающихся осложнений. Симптомы асцита Часто первым признаком асцита для больного становится невозможность застегнуть брюки или ремень из-за увеличения обхвата талии. Если пациент контролирует вес, он может отметить его прибавку. Как на начальном этапе, так и при тяжелой степени водянки брюшной полости возможно появление следующих симптомов: - быстрая утомляемость; - тяжесть, ощущение распирания внутри живота; - боль, преимущественно с правой стороны; - тошнота, изжога, отрыжка; - повышенное газообразование в кишечнике; - затрудненное дыхание, одышка; - отечность рук, ног, посинение конечностей; - повышение общей температуры тела. При асците, связанном с патологией печени, увеличению живота могут сопутствовать или предшествовать пожелтение кожи, слизистых оболочек, потемнение мочи, обесцвечивание кала, появление синяков на теле, повышенной кровоточивости. Для туберкулеза характерно появление водянки вследствие поражения регионарных лимфоузлов и сдавления внутренних органов. Развитию такого осложнения обычно предшествуют повышенная утомляемость, чрезмерная потливость, преимущественно в ночные часы, потеря веса, продолжительный субфебрилитет 37–38°С, иногда слабые боли в животе. Пороки сердца и хроническая сердечная недостаточность из-за перераспределения крови также могут сопровождаться скоплением жидкости в брюшной полости. Симптомам асцита при этом зачастую предшествует продолжительное наблюдение у кардиолога. Таким больным важно обращать внимание на нарастающую слабость и одышку, ночной кашель, выраженные колебания показателей АД. Отеки присутствуют на нижних конечностях, усиливаются к вечеру или вовсе не проходят в течение дня. При почечной патологии, напротив, отекают лицо и верхняя половина тела. Проявления асцита при онкологии разнообразны, зависят от локализации и агрессивности опухоли. Неизменным остается лишь значительное увеличение объема живота. При большом объеме жидкости присутствует расширение подкожных вен на животе, выпячивание пупка. Диагностика В ходе осмотра гастроэнтеролога исключаются другие возможные причины увеличения объема живота – ожирение, киста яичника, беременность, опухоли брюшной полости и т. д. Для диагностики асцита и его причин проводится перкуссия и пальпация живота, УЗИ брюшной полости, УЗДГ венозных и лимфатических сосудов, МСКТ брюшной полости, сцинтиграфия печени, диагностическая лапароскопия, исследование асцитической жидкости. ![]() Перкуссия живота при асците характеризуется притуплением звука, смещением границы тупости при изменениях положения тела. Прикладывание ладони к боковой поверхности живота позволяет ощутить толчки (симптом флюктуации) при постукивании пальцами по противоположной стенке живота. Обзорная рентгенография брюшной полости позволяет идентифицировать асцит при объеме свободной жидкости более 0,5 л. Из лабораторный тестов при асците проводится исследование коагулограммы, биохимических проб печени, уровней IgA, IgM, IgG, общего анализа мочи. У пациентов с портальной гипертензией показано выполнение ЭГДС с целью обнаружения варикозно измененных вен пищевода или желудка. При рентгеноскопии грудной клетки может выявляться жидкость в плевральных полостях, высокое стояние дна диафрагмы, ограничение дыхательной экскурсии легких. В ходе УЗИ органов брюшной полости при асците изучаются размеры, состояние тканей печени и селезенки, исключаются опухолевые процессы и поражения брюшины. Допплерография позволяет оценить кровоток в сосудах портальной системы. Гепатосцинтиграфия проводится для определения поглотительно-экскреторной функции печени, ее размеров и структуры, оценки выраженности цирротических изменений. С целью оценки состояния спленопортального русла проводится селективная ангиография – портография (спленопортография). Всем пациентам с асцитом, выявленным впервые, выполняется диагностический лапароцентез для забора и исследования характера асцитической жидкости: определения плотности, клеточного состава, количества белка и бактериологического посева. При сложно дифференцируемых случаях асцита показано проведение диагностической лапароскопии или лапаротомии с прицельной биопсией брюшины. Лечение асцита Всем больным рекомендованы ограничение физической нагрузки и потребляемого питья, соблюдение постельного режима, щадящая бессолевая диета. Медикаментозная терапия асцита включает прием мочегонных препаратов. При повышенной потере белка возможно внутривенное введение раствора альбумина. Выраженная водянка, которая сопровождается сдавлением внутренних органов, в тяжелых случаях требует откачивания с помощью иглы скопившегося экссудата через прокол брюшной стенки. Данная процедура называется лапароцентезом, проводится только по показаниям из-за большого количества возможных осложнений. Прогноз при асците зависит от его выраженности и причины возникновения. Как правило, он существенно осложняет течение основного заболевания, поэтому сопровождается высокой летальностью. |
Интересные медицинские статьи нашего сайта:
Шейный остеохондроз
Вы заметили: головные боли возникают все чаще и чаще, Не вдаваясь в причины, вы спешите в аптеку и покупаете \'что-нибудь от ...Рискованное иглоукалывание
Акупунктура, или как ее чаще называют в российской медицине – иглоукалывание не всегда имеет только позитивное действие на организм человека. Этот вид терапии может ...Средства лечения от слоновости ног
Слоновость ног, или лимфостаз – это стойкий отёк, который вызван нарушением оттока лимфы из тканей. Чаще всего слоновость бывает на ...Все материалы взяты из открытых источников и принадлежат авторам, указанным в статьях.
при перепечатке или копировании материала, пожалуйста, указывайте ссылку на нас.
Здоровья Вам и Вашим близким! 2004 - 2026 г.


