Гидроцефалия
|
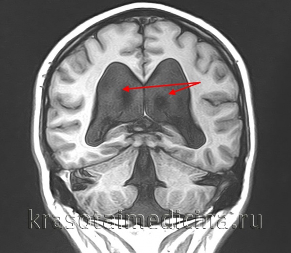
Добавлено: 26.04.2023, 03:30 Источник: ГидроцефалияГидроцефалия — повышенное скопление цереброспинальной жидкости в ликворной системе головного мозга. Гидроцефалия сопровождает многие врожденные и приобретенные неврологические заболевания. Клинически она проявляется признаками повышенного внутричерепного давления (головная боль, тошнота, давление на глаза), симптомами сдавления мозговых структур (вестибулярная атаксия, нарушения зрения, психические расстройства, эпи-приступы) и симптомами, характерными для вызвавшего ее заболевания. Диагностика гидроцефалии включает рентгенографию черепа, офтальмологические исследования, Эхо-ЭГ (у грудных детей — нейросонографию), МРТ или КТ головного мозга. Хирургическое лечение гидроцефалии позволяет скорректировать врожденные аномалии ликворной системы, провести удаление нарушающих ликвороциркуляцию внутричерепных образований, наладить отток ликвора из полости черепа. ![]() В головном мозге есть четыре желудочка – два боковых, а также так называемые третий и четвертый желудочки мозга. Из боковых желудочков ликвор поступает в третий желудочек, а оттуда – в водопровод мозга, или Сильвиев водопровод, через который жидкость поступает в четвертый желудочек. После этого спинномозговая жидкость вытекает в подпаутинное (субарахноидальное) пространство, окружающее головной и спинной мозг, где всасывается. ![]() Ликвор постоянно обновляется (вырабатывается около 500 мл ликвора в сутки) – вырабатывается и всасывается. Если баланс между выработкой спинномозговой жидкости и всасыванием нарушается, то есть ликвор вырабатывается быстрее, чем всасывается, то он начинает скапливаться внутри желудочков, они расширяются, а внутричерепное давление повышается. Такое состояние и называется гидроцефалией. Классификация гидроцефалииОсновная классификация предполагает выделение окклюзионной, или несообщающейся гидроцефалии (при закупорке ликворных путей), и сообщающейся гидроцефалии, когда нарушена всасываемость ликвора (встречается чаще), или вырабатывается слишком много ликвора при нормальном всасывании (встречается реже). Кроме того, гидроцефалия подразделяется: По локализации: внутренняя, когда увеличены желудочки мозга; наружная, когда увеличены субарахноидальные пространства; смешанная, когда увеличены и желудочки мозга, и субарахноидальные пространства. По стадии заболевания: компенсированная, когда расширение ликворных путей существует без клинических проявлений; субкомпенсированная, когда при расширенных ликворных путях присутствуют общемозговые симптомы; декомпенсированная, когда при расширенных ликворных путях присутствуют очаговые неврологические симптомы. По этиологии: врожденная гидроцефалия – развивается в результате перинатальных внутричерепных кровоизлияний, опухолей головного мозга, воспалительных процессов, после черепно-мозговой травмы, вследствие патологий сосудов головного мозга; приобретенная гидроцефалия – инфекционная, постгеморрагическая (после кровоизлияний), при объемных внутричерепных процессах, в результате гиперпродукции ликвора, например, при опухолях сосудистых сплетений, выстилающих желудочки мозга. Функциональная классификация: В зависимости от уровня ликворного давления различают: гипертензивную гидроцефалию (давление повышено); нормотензивную гидроцефалию (давление в норме). Некоторые классификации выделяют еще острую гидроцефалию (декомпенсация происходит в срок до 3 суток), подострую проградиентную (декомпенсация состояния происходит в течение месяца) и хроническую гидроцефалию. Следует помнить, что гидроцефалия – это развивающееся состояние, и скорость прогрессирования может изменяться с течением времени. Кроме того, острое начало может сменяться хроническим течением, в то время как хроническая гидроцефалия может сопровождаться обострениями, требующими смены тактики лечения. ДиагностикаКлинические симптомы гидроцефалии обычно настолько характерны, что позволяют неврологу заподозрить ее наличие при первом же осмотре пациента. Для определения степени и формы гидроцефалии, а также для выявления лежащего в ее основе заболевания проводятся дополнительные обследования: Рентген. При рентгенографии черепа выявляется истончение костей черепа и расхождение швов между ними; на внутренней поверхности свода черепа наблюдается симптом «пальцевых вдавлений». Гидроцефалия, обусловленная стенозом водопровода мозга, сопровождается уменьшением объема задней черепной ямки на рентгенограммах черепа. Гидроцефалия при синдроме Денди-Уокера, наоборот, характеризуется увеличением объема задней черепной ямки на краниограммах. Гидроцефалия при закрытии одного из межжелудочковых сообщений проявляется видимой на краниограмме асимметрией черепа. Компьютерная или МР-томография. Томографические методы диагностики дают возможность определить характер гидроцефалии, выявить место окклюзии ликворных путей или имеющуюся врожденную аномалию, диагностировать причинное заболевание (опухоль, киста, гематома и т. п.). При гидроцефалии наиболее информативно применение МРТ головного мозга. При подозрении на сосудистые нарушения показана МРА сосудов головного мозга. МРТ головного мозга. Выраженное расширение боковых желудочков окклюзионного характера. ![]() Эхография. Из методов УЗИ-диагностики при гидроцефалии применяется эхоэнцефалография, позволяющая определить степень повышения внутричерепного давления. У детей первого года жизни возможно УЗИ-сканирование головного мозга через открытый родничок при помощи ультрасонографии. Консультация офтальмолога. Оценку зрительных нарушений и состояния дисков зрительных нервов производит офтальмолог. Как правило, в перечень офтальмологических обследований при гидроцефалии входит офтальмоскопия, определение остроты зрения и периметрия. Люмбальная пункция . При отсутствии противопоказаний для выявления причинного заболевания возможно проведение люмбальной пункции с последующим исследованием цереброспинальной жидкости. Врожденная гидроцефалия инфекционной этиологии требует проведения ПЦР-диагностики для определения вида вызвавшей ее инфекции. Лечение гидроцефалииВыбор метода лечения гидроцефалии зависит от ее этиологии. Консервативная терапия часто проводится при приобретенной гидроцефалии, обусловленной воспалительными заболеваниями, перенесенной ЧМТ, кровоизлиянием в желудочки. Осуществляется лечение основного заболевания, а для уменьшения степени гидроцефалии и повышенного внутричерепного давления назначаются мочегонные препараты (ацетазоламид, фуросемид). Врожденная гидроцефалия обычно требует хирургического вмешательства, направленного на коррекцию лежащего в ее основе порока развития. Если гидроцефалия обусловлена наличием объемного процесса в головном мозге, то она также лечится хирургическим методом. По показаниям производится удаление внутричерепной гематомы, операции по удалению опухолей, вскрытие или тотальное иссечение абсцесса головного мозга, разъединение спаек при арахноидите и др. В случаях, когда устранить причину гидроцефалии не представляется возможным применяются шунтирующие операции:
Лечение и причины гидроцефалии! |
Интересные медицинские статьи нашего сайта:
Что излечит целлюлит
Целлюлит - что это такое, каким образом можно предотвратить или бороться с этим неприятным эффектом апельсиновой кожи. Давайте подробно изучим ...Рекомендации по выбору ингаляторов
В настоящее время в медицинской практике используются три основных типа ингаляторов: паровые, ультразвуковые и компрессорные (струйные). Последние два объединены ...Тест: Удовлетворяете ли вы друг друга в сексуальном отношении?
Приводимый ниже вопросник исследует эти критические зоны, позволяя выяснить, насколько вы приспособлены к нуждам друг друга. Можете отвечать отдельно, но лучше ответить ...Все материалы взяты из открытых источников и принадлежат авторам, указанным в статьях.
при перепечатке или копировании материала, пожалуйста, указывайте ссылку на нас.
Здоровья Вам и Вашим близким! 2004 - 2026 г.



