Гипоплазия
|
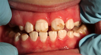
Добавлено: 03.05.2023, 02:48 Источник: [color=#181d21]Гипоплазия зубовОпределение болезни. Причины заболевания Гипоплазия — это порок развития твёрдых тканей одного или целой группы зубов. Бывает врождённым и приобретённым. Развивается тогда, когда формируются зачатки молочных или постоянных зубов. Не является кариозным поражением. Сопровождается гипоплазия неоднородным цветом эмали, её истончением и изменением рельефа — углублениями различной формы и величины (от точек до бороздок и ямок). При прорезывании зубы сразу отличаются: на их поверхности присутствуют белые, жёлтые или коричневые пятна. ![]() Иначе такое поражение зубов называют наследственной гипоплазией, аплазией, дисплазией или коричневой дистрофией эмали, а поражённые зубы — рифлёными или гипсовыми. Симптомы гипоплазииВыделить основные признаки болезни сложно. Симптомы ее зависят от того, какие органы и ткани были затронуты. Среди самых распространённых видов недоразвитости можно выделить гипоплазии: - тканей зуба; - головного мозга; - половых органов; - почек; - щитовидной железы. Появление трещин и пятен разного цвета на эмали может говорить о гипоплазии зубов. При аномалии головного мозга уменьшен его объем, недоразвиты определенные отделы и полушария. Гипоплазия почек может задеть один или оба органа. Симптомами недоразвитости кожи является ее гиперпигментирование и истонченность на некоторых участках. Аномалии в развитии половых органов у женщин встречаются гораздо чаще, чем у мужчин. Симптомы такого вида гипоплазии следующие: - задержка или отсутствие месячных; - понижение либидо; - бесплодие. Несмотря на то, что гипоплазия — врожденная болезнь, ее не всегда удается выявить сразу после появления ребенка на свет. Например, аномалии в развитии половых органов и молочных желез чаще всего проявляются во время созревания, когда эти части тела начинают усиленно изменяться. Причины заболеванияПоявление гипоплазии связано с особенностями внутриутробного развития плода. Под воздействием негативных внутренних и внешних факторов в организме появляются различные аномалии. Чаще всего образование дефекта у ребенка начинается еще до его появления на свет. Причинами недоразвитости плода может стать: - уменьшение околоплодных вод; - аномалии деления клеток; - заболевания инфекционного характера (молочница, краснуха, токсоплазмоз). Из-за нейроэндокринных нарушений может появиться микросомия. Но чаще всего гипоплазия у ребенка возникает из-за неправильного образа жизни его матери. Таких отклонений можно избежать, если заботиться о будущем своего малыша и избегать: - любых травм; - работы на опасных для здоровья производствах; - приема тяжелых медицинских препаратов; - курения, в том числе пассивного; - употребления алкогольных напитков; - использования наркотических средств; - питья кофе и крепкого чая. Также недоразвитость может развиваться из-за влияния на организм высокой температуры и энергии электромагнитных волн. Поэтому нужно постараться оградить будущую маму от вредного воздействия на ее тело. Женщина, ждущая ребенка, должна избегать стрессовых ситуаций, придерживаться правильного питания и вести здоровый образ жизни. ![]() Патогенез гипоплазии зубовОбразование эмали — процесс, от которого зависит красота и здоровье зуба. Он начинается на этапе формирования зачатка, т. е. до прорезывания. В нём участвует множество клеток. Одни из них — амелобласты. Это клетки, которые строят эмаль из эмалевых призм, как стену из кирпичиков. Один амелобласт в норме формирует одну эмалевую призму, из которых состоит внешняя ткань уже прорезавшегося зуба. После прорезывания амелобласты запрограммированно разрушаются. Без них зубная эмаль теряет способность восстанавливаться. ![]() После образования тканей эмаль проходит три стадии минерализации. Первые две стадии обычно заканчиваются до прорезывания, последняя (третья) — в первый год после прорезывания. Если эмаль зачатка не минерализовалась, то по консистенции она становится похожей на хрящ. Исходя из особенностей процесса образования зачатка и минерализации эмали, выделяют две гипотезы патогенеза болезни: Первая гипотеза связана с изменениями в амелобластах. Из-за нарушения формирования белковой матрицы такие клетки полностью гибнут ещё во время формирования зачатка. Это и приводит к гипоплазии эмали. Но иногда нарушения возникают не только на уровне амелобластов, но и одонтобластов. В таком случае развивается гипоплазия дентина. Вторая гипотеза связана с ослаблением процесса минерализации структурных тканей эмали. По клинической картине выделяют пять форм гипоплазии: Пятнистая форма. Сопровождается появлением пятен белого, жёлтого или коричневого цвета. Границы чёткие, поверхность гладкая и блестящая. Форма, размер и расположение пятен чаще симметрично. Эрозивная форма. Эмаль сильно истончена. Дефекты, как правило, округлой, чашеобразной формы, одного размера. Расположены симметрично на одноименных зубах. Бороздчатая форма. Отличается бороздчатыми, линейными углубления на поверхности зуба или зубов. Располагаются вдоль режущего края. Смешанная форма. Включает в себя признаки всех вышеуказанных форм. Аплазия — отсутствие эмали на определённом участке зуба. Наиболее серьёзное проявление гипоплазии. ![]() Диагностика гипоплазии зубовДля постановки диагноза доктор опрашивает пациента, проводит общий осмотр и осмотр полости рта. Опрос пациента. Врач узнаёт о перенесённых и сопутствующих заболеваниях пациента. Уточняет, какие неблагоприятные факторы могли повлиять на состояние зубов. Место проживания, работы и профессиональные вредности матери также имеют значение. Чтобы исключить влияние лекарств на образование дефектов, доктор выясняет, какие препараты принимает или принимал пациент, а также его мать во время беременности. Также важно узнать, когда образовались пятна, сколы, ямки и эрозии. При гипоплазии указанные дефекты видны сразу после прорезывания зубов, а не через некоторое время, как при кариесе. Осмотр пациента. Доктор обращает внимание на состояние волос, кожи и ногтей, прощупывает щитовидную железу. Это нужно, чтобы выявить фоновые заболевания, которые могли стать причиной развития гипоплазии. Осмотр полости рта. Врач проводит зондирование, обращая внимание на цвет, структуру и рельеф поверхности зубов. Чтобы отличить эти пятна от начального кариеса, выполняет окрашивание пятна 2 % водным раствором метиленового синего. Гипоплазия, в отличие от кариеса, не окрашивается. Перед диагностическим тестом зуб нужно очистить и высушить. Дифференциальная диагностика. Важно отличить гипоплазию от других болезней: Кариес в стадии пятна возникает после прорезывания, в то время как гипоплазия формируется до появления или прорезывания зуба. Кариозные дефекты чаще располагаются в фиссурах — естественных углублениях зуба, тогда как гипоплазия обычно локализуется на поверхности зубов со стороны щёк или губ. При кариесе во время зондирования часто обнаруживается шероховатость эмали, её целостность нарушена. При гипоплазии углубления и ямки имеют гладкую поверхность. Флюороз возникает у людей, которые живут на территории с повышенным уровнем фтора. С возрастом флюороз может исчезнуть, однако чаще, как и гипоплазия, остаётся на всю жизнь. Многие исследователи рассматривают флюороз как гипоплазию специфического происхождения. Кислотный некроз эмали сопровождается жалобами на ощущение вязкости во рту — оскомину. Встречается у людей, работающих с химическими кислотами. В отличие от гипоплазии развивается после прорезывания зубов под влиянием внешних негативных факторов. Лечение гипоплазии зубовХарактер и вид лечения зависят от степени гипоплазии. При единичных белых пятнах на 1-2 зубах и отсутствии эстетических жалоб лечебные мероприятия не проводятся. Как правило, в этом случае поражены жевательные зубы. Когда гипоплазия расположена на центральных зубах, дефекты эмали видны при разговоре и улыбке, вызывают у пациента психологический дискомфорт. В таком случае даже слабовыраженные формы гипоплазии требуют лечения, например с помощью пломбирования поражённых зубов композитным материалом. Пациентам с системной гипоплазией и серьёзными поражениями зубов чаще показано обследование и лечение не только у стоматологов, но и у эндокринолога, терапевта, гинеколога или инфекциониста. Всё зависит от выявленного фонового заболевания. При выраженных пороках развития требуется помощь стоматолога-ортопеда. Доктор восстановит форму и функцию зуба с помощью вкладки, винира, люменира или коронки. ![]() В качестве лечебно-профилактических процедур рекомендуется пройти интенсивные курсы реминерализирующей терапии, особенно при пятнистой форме гипоплазии. Реминерализация снижает повышенную чувствительность, укрепляет ткани зубов, делает их более устойчивыми к кариесу. Реминерализация включает в себя: Глубокое фторирование зубов. Назначаются фторсодержащие гели и пасты, но только после дифференциальной диагностики с флюорозом. Кальцинирование зубов. Применяются пасты и гели с активным кальцием. Иногда длительная реминерализация помогает уменьшить размеры пятен. Но полностью устранить дефекты не получится, так как эмаль зуба не способна самовосстанавливаться. В завершении лечения стоматолог обучает пациента правильной гигиене полости рта, чтобы предотвратить развитие осложнений гипоплазии. |
Интересные медицинские статьи нашего сайта:
Ветряная оспа
Что такое ветряная оспа (ветрянка)? Причины возникновения, диагностика, классификация и стадии развития. Диагностики и методы лечения. ...Что такое Лифтинг
Рано или поздно, наступает тот день, когда зеркало из союзника превращается в предателя. Любимый крем грустит на полочке, а косметолог разводит руками. Всему виной закон ...Лечение бронхита у детей
Бронхитом называют воспалительный процесс слизистой бронхов. Это заболевание может протекать в острой или хронической форме. Чаще всего острый бронхит начинается после ...Все материалы взяты из открытых источников и принадлежат авторам, указанным в статьях.
при перепечатке или копировании материала, пожалуйста, указывайте ссылку на нас.
Здоровья Вам и Вашим близким! 2004 - 2026 г.





