 |
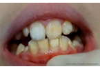
Гипоплазия |
Гипоплазия — что жэ это такое? Слово гипоплазия означает «недоразвитие». Под гипоплазией эмали понимают недоразвитие поверхностного слоя зуба.Что такое гипоплазия зубов? Причины возникновения, диагностика и методы лечения заболевания....
|
|
 |
Гипогликемия |
Причины гипогликемии.Разновидности гипогликемического синдрома. Диагностика и лечение гипогликемии. Профилактика заболевания....
|
|
 |
Гипертония |
Гипертония или артериальная гипертензия относится к заболеваниям сердечно-сосудистой системы. Классификация гипертонической болезни,факторы риска, симптомы, диагностика и лечение заболевания....
|
|
 |
Гипертермия |
Что делать при диагнозе Гипертермия? Классификации, симптомы у взрослых и детей, причины появления заболевания, методы диагностики и способы лечения заболевания....
|
|
 |
Гипертензия Артериальная |
Одним из наиболее распространенных патологических процессов в сердечно-сосудистой системе считается гипертензия. Определение болезни, причины и симптомы заболевания. Классификация гипертонической болезни. Осложнение и методы диагностики....
|
|
 |
Гиперплазия |
Все о гиперплазии эндометрия матки, способах лечения и методах диагностики. Чем опасна гиперплазии эндометрия для здоровья женщины....
|
|
 |
Гипергидроз |
Почему появляется гипергидроз. Причины возникновения, диагностика и методы лечения заболевания. Вы найдете в данной статье....
|
|
 |
Гинекомастия |
Гинекомастия — это увеличение одной или обеих грудных желёз у мужчин, связанное с разрастанием тканей молочных (грудных) желёз и локальным отложением жировой ткани. Симптомы, лечение, диагностика....
|
|
 |
Гингивит |
Гингивит — воспаление дёсен, при котором не происходит нарушение целостности околозубных тканей. Симптомы и разновидности гингивита у взрослых и детей. Как лечить гингивит?...
|
|
 |
Гидроцефалия |
Гидроцефалия (водянка головного мозга) - описание заболевания, классификации, симптомы и лечение....
|
|
Не нашли информацию? Воспользуйтесь ПОИСКОМ по названию и содержимому в окне ниже.